超閃的美美與創作者眼鏡男Mr. H.H,
這次竟然出現UNT的眼線與睫毛膏包裝
讓人覺得浪漫到快要融化!不只包裝美
用起來不厚重又漆黑,十分符合化妝時
想要達到的需求,推薦列入購買參考。

之前在很多商品都會看到可愛又時尚的
造型人物美美,這是第一次看到創作者
斯文的Mr. H.H與美美在包裝上玩愛心
讓人覺得即使非真人情侶都甜到不行。
UNT「完美持久眼妝打底膏」10ml
北衛粧廣字第10504200號

打底膏的外盒包裝有中文的資訊詳細標註,
而且底下也有製造和到期日很清楚在上面,
標註都還蠻詳的,若首次使用時建議參考。
因為臉上難免會有黑眼圈和一些痘疤泛紅,
所以遮瑕膏成了底妝一個很重要的環節之一
打好底才能真正的讓整個妝看起來乾淨。

現在的底妝設計真的很貼心,已經不只為遮瑕,
完美持久眼妝打底膏能讓眼線和眼影都可服貼,
簡約軟管式的包裝很好控制每次適當的使用量。
底膏是淺淺的米白色質地,濃稠度很適中,
使用一些底膏在手上不覺得油膩或太水狀,
滑順很好推開,是屬於比較薄透自然呈現。


在上妝前可以使用打底膏,在眼睛下方
才不會讓一整天下來眼睛出油讓眼妝變
很暈開像是熊貓眼一樣髒髒的很可怕。


在臉上也一樣很滑順,因為很薄透
所以推開後完全融合在眼週的皮膚
不容易移位或者卡粉或發生褶痕。


每次的使用量只要一點點延展性是很不錯的,
因為使用後很快吸收所以可以再接著上眼影,
還有眼線也很不錯,比較可以減少暈開程度。


以前總是會怕遮瑕膏讓整個妝容都變的厚,
但其實只要質地做的夠薄透就可以避免這樣
而這次UNT完美持久眼妝打底膏就很薄透。


常常都會說眼妝有些東西很必備重要,
而雙寶就是眼線液和睫毛膏,二樣一起
搭配就會讓眼神很快的充飽滿滿電力。

激濃黑抗暈彈力眼線液筆的外盒是
超人氣卡通娃娃美美,拿著一顆心
很俏皮的樣子,這支也是最近使用
的的幾支眼線液裡最喜歡的一支。

UNT「激濃黑抗暈彈力眼線液筆」
北衛粧廣字第10504200號

外盒上滿滿產品介紹資訊可詳細了解,
大概可以看一下想要表達的特色內容,
妙妙琳想應該就是他流暢的筆尖設計。


包裝其實是很簡約的,看起來類似
以前寫書信所使用的自來水筆毛筆
感覺又更加細緻且漆黑色調感覺。

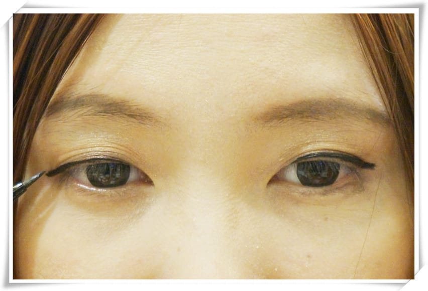
用激濃黑抗暈彈力眼線液筆寫一下字,
會發現他很夠濃黑而且也不太會暈開,
畫眼線很怕到了下午因為汗水而髒妝。


那為什麼說妙妙琳平常化妝的時候,
都一定要畫上眼線才會覺得有精神,
不然眼睛的電力剩不到一半很可惜。

彈力的筆頭就很好掌控,筆因為要很小心
所以好上手不易手震還是很重要的重點,
UNT的眼線筆畫起來會覺得很得心應手,
我想這就是像畫家一樣,很堅持筆觸好。

如果是初學者在畫眼線的時候會建議
要分成三個等份完成眼線,先畫眼頭
接著是瞳孔的眼中部份和最後眼尾,
不然初學者都會很怕一不小心失手。

畫上去的線條想要細想要粗都可以容易控制,
而且很漆黑感覺眼神就被勾勒了出來,覺得比
眼線膠筆的筆觸會再更自然而且一樣的好畫。


其實眼線可以影響一個人的眼神耶!
像是眼尾拉長或者向上會感覺有嬌媚
如果畫圓的會有可愛感覺長則俐落。
沒畫時感覺有點伙神想要睡覺感覺,
畫上去彷若眼神都有了很有精神般,
女生的眼睛會說話,眼線液很重要。

UNT「驚為天人濃翹抗暈睫毛膏」10ml
北衛粧廣字第10504200號

接下來要看的是由Mr. H.H當封面的
驚為天人濃翹抗暈睫毛膏,包裝也很
仔細的印製到期日和詳細使用方式等。
睫毛刷的濃濃的總是讓人覺得溫柔又有魅力,
這支研發加入了能改善平常在使用睫毛膏時
最怕的睫毛膏不好刷或者不夠濃黑的問題,
「極顯黑因子」與「塑型複方軟蠟」讓睫毛
柔順不結塊且黑亮就能看起來非常吸引人。

刷睫毛有一個很重要的重點之一就是
刷頭要夠細且夠密,這次的特別刷頭
就像狼牙棒一般的旋型刷頭非常細密
驚為天人濃翹抗暈睫毛膏的刷頭真的
是目前看過最細緻的,覺得超多根。


試著刷刷看,會發現有刷過的與沒刷過的
差很大,因為沾附大量睫毛膏而且其刷頭
也能均勻的將睫毛膏刷散開分散很剛好,
不結塊不糾結,整個眼妝看起來就乾淨。

「360°零死角捲翹睫毛夾」
北衛粧廣字第10504200號


睫毛夾這次有在做活動只要有買就送,
算是很划算,夾上去的施力點也省力,
而且手指握的地方也很防滑好上手喔!
這次的激濃黑抗暈彈力眼線液筆還有
驚為天人濃翹抗暈睫毛膏讓眼妝能夠
乾淨不暈染且濃園捲翹線條也很漂亮
不只是包裝很可愛,實用度也滿分。
個人看法不盡相同。
文章歡迎以連結方式分享不需本人同意,
文章之圖片及內容為個人心血若需下載使用,
需事先告知經同意及註明出處。
喜歡MiuMiu的文章..
記得粉絲頁及文章”按讚”+”分享”喔
請幫MiuMiu粉絲頁按讚喔^_^




